您当前的位置:首页 » 党建天地 » 党建新闻 » 【精术】从重度昏迷到全面恢复——我院神经外科与时间赛跑救治一例重型开放性颅脑损伤患者

【精术】从重度昏迷到全面恢复——我院神经外科与时间赛跑救治一例重型开放性颅脑损伤患者

发布时间:2022-03-01   来源:青海省第五人民医院(青海省肿瘤医院)   浏览:6631

近日,接到有人晕倒摔伤的急救电话,我院急诊团队第一时间出发,将患者送达医院抢救。随后,以“重型开放性颅脑损伤;右侧额叶急性硬膜下血肿;右侧额叶脑挫裂伤;创伤性蛛网膜下腔出血;左侧枕部急性硬膜外血肿;颅底骨折伴脑脊液鼻漏;高血压病2级;腰1椎体、胸11、12椎体压缩性骨折”等症收住我院神经外科。

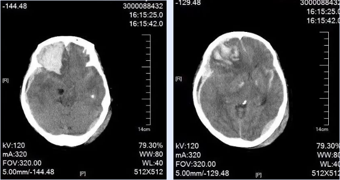
患者入院时已出现神志不清、嗜睡、言语含糊等情况。入院后不久,患者病情进行性加重,神志昏迷,呼吸急促,瞳孔不等大,对光反射迟钝,生命垂危,复查头颅CT,结果显示硬膜下血肿、脑内血肿出血急剧增多,中线移位明显,需立即行手术治疗。

图片图片

时间就是生命,速度决定安危,准确研判患者伤情后,在麻醉手术科的配合下,我院神经外科贺喜武手术团队积极行手术抢救,术后,经ICU 20余天全力救治,患者最终转危为安。后期恢复远超预期,与摔伤前无异,神经外科团队高超的救治水平得到患者及家属的一致认可。

图片

近日,患者及家属为我院神经外科手术团队送来锦旗一面,对科室团队精湛的医术、及时的救治表达感谢。其实,这一病例只是我院神经外科自科室成立以来成功完成的百余例手术中的其中一例,虽然此类重型颅脑损伤的救治对医护人员极具挑战性,但我院神经外科、麻醉手术科、ICU手术团队凭借精湛的技术和丰富的临床经验,在脑外伤手术领域开创了多个不可能,其手术团队也在一次次成功救治中赢得了患者的信任。